
Allergien durch Zahnfüllungen
Studien bestätigen, die meisten allergischen Reaktionen haben ihren Ursprung in den Materialien, welche bei der Zahnbehandlung verwendet werden.

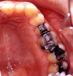
Amalgam, das am häufigsten verwendete Füllungsmaterial, kann zu regelrechten Vergiftungserscheinungen führen.
Eine dentale Füllung, meist eine metallurgische Legierung, stellt einen Fremdkörper in unserem körpereigenen System dar. Unverträglichkeiten gegen diese Werkstoffe oft die Ursache für allergische Reaktionen oder chronische Erkrankungen. Die Füllungen, Kronen oder Plomben beeinflussen das gesamte Nervensystem und damit auch die körpereigenen Abwehrkräfte.
Erst wenn die Ursache eingegrenzt ist, wird mit einer schrittweisen Behandlung begonnen.
Die Symptome sind Abgeschlagenheit, Müdigkeit, plötzlicher Haarausfall oder eine chronische Rötung und ein Ausschlag im Gesicht.
Bei einer eindeutigen Bestimmung der Ursache kann bei einer dementsprechenden Behandlung durch Entfernung des reizauslösenden Werkstoffes und einer begleitenden Therapie das Problem rasch gelöst werden.
Schwieriger wird es beim Zusammenwirken verschiedener Reizfaktoren. Wenn sich eine Unverträglichkeit von bestimmten Nahrungsmitteln oder Pollen mit den Einwirkungen durch die Zahnfüllungen verstärkt, sind verschiedene Tests notwendig, um die eigentliche Ursache zu erkennen.
Bei einer normalen Behandlung von Allergie wird die Auswirkung erfolgreich bekämpft, die eigentliche Ursache liegt aber bei rund 3 Millionen Allergikern oft im Verborgenen. Nur durch eine ganzheitliche Sichtweise kann es zu einer langfristigen Beseitigung der Beschwerden kommen. Nach dem Bestimmen der Störfaktoren werden die Materialien aus den Zähnen schrittweise entfernt und durch neutrale Werkstoffe ersetzt. Bei einer echten Vergiftung wird eine Ausleitungstherapie begonnen, bei der man den Körper zur selbsttätigen Entgiftung anregt.
Bei leichten Fällen kommt es nach dem Ersatz der allergieauslösenden Zahnfüllungen durch neutrale Werkstoffe oft schon zu den ersten Verbesserungen der Symptomen. Das richtige Material wird dann in weiteren Tests ermittelt und individuell dem jeweiligen Patienten angepasst.
Neben diesen zahnmedizinischen Behandlungen wird mit den weiteren Fachkräften der Ordinationsgemeinschaft Kölnhof eine optimale Behandlung des geschwächten Immunsystems erstellt.
Nur das ungestörte Zusammenwirken der gesamten Abwehrkräfte des Körpers kann mit den stetig zunehmenden Umweltreizen fertig werden. Unzählig